If you’ve ever wondered how clear aligner technology works, you’re not alone. Many patients at Gross Orthodontics in El Paso are amazed by how clear aligners can straighten teeth effectively without brackets or wires. Thanks to digital technology and advanced orthodontic planning software, clear aligner systems like Invisalign, Spark, Angel, and u-Lab achieve precise, predictable results while keeping treatment discreet and comfortable.
Dr. Amanda Gross and her team combine orthodontic expertise with innovative tools to create smiles that look natural and feel confident. Here’s a closer look at how clear aligner technology works, from start to finish.
The Science Behind Clear Aligner Technology
Clear aligner technology uses a combination of digital imaging, advanced software, and durable materials to move teeth safely and efficiently. The process begins with a 3D digital scan of your teeth. This scan replaces traditional molds and provides a more accurate, comfortable experience.
Using these digital images, Dr. Gross designs a fully customized treatment plan that considers your bite, alignment, and facial structure. Once the plan is complete, a series of clear aligners is created. Each aligner is slightly different, applying gentle, controlled pressure to specific teeth to gradually shift them into position.
Step 1: Digital Scanning and Smile Simulation
At Gross Orthodontics, treatment begins with a digital scan using advanced 3D imaging. This quick, non-invasive scan captures every detail of your teeth and bite. The digital model is then uploaded to the clear aligner’s planning software, where Dr. Gross simulates tooth movements and predicts what your smile will look like after treatment.
Patients appreciate being able to preview their future smile before even starting. This simulation also helps identify challenges such as crowding or spacing, allowing Dr. Gross to plan for precise and predictable results.
Step 2: Custom Treatment Planning
After the scans are complete, Dr. Gross develops a personalized treatment plan using specialized clear aligner software. This program calculates how each tooth will move with every aligner set. By planning each stage digitally, Dr. Gross ensures the right amount of pressure is applied to the right teeth at the right time.
This precision helps shorten treatment time and enhances comfort. The software also allows Dr. Gross to compare different treatment strategies to find the most efficient path to your perfect smile.
In El Paso, this advanced planning makes the clear aligner a top choice for teens and adults who want predictable, beautifully aligned results without traditional braces.
Step 3: Fabricating the Custom Aligners
Once your treatment plan is finalized, your aligners are custom-made from a clear, BPA-free plastic material designed for comfort and durability. Clear aligner’s SmartTrack material, for example, provides a gentle yet consistent force that helps teeth move more precisely.
Each set of aligners is crafted to fit snugly over your teeth and is worn for about one to two weeks before moving on to the next set. Every new aligner brings your teeth closer to their final, ideal position.
Gross Orthodontics also offers other clear aligner systems, such as Invisalign, Spark, Angel, and u-Lab, so that patients in El Paso can choose the option best suited to their goals and budget.
Step 4: The Gradual Shifting Process
Understanding how clear aligner technology works means recognizing how small, consistent changes add up to big results. Each aligner makes slight adjustments to your teeth’s position by applying controlled pressure. These forces are carefully calculated to ensure your teeth move in a healthy and predictable way.
Typically, patients wear their aligners for 20 to 22 hours per day, removing them only for eating, brushing, and flossing. Consistency is key. Wearing your aligners as instructed ensures your teeth follow the planned movement schedule and your treatment stays on track.
Step 5: Tracking and Refining Progress
Throughout treatment, Dr. Gross monitors your progress through regular appointments at Gross Orthodontics in El Paso. These check-ins allow her to confirm that each stage of movement is progressing as planned. The Clear aligner’s digital system can also be used to compare your current alignment to the original 3D model, ensuring that every tooth is where it should be.
If minor refinements are needed, Dr. Gross can make digital adjustments and create additional aligners to fine-tune your results. This flexibility is one of the key advantages of modern aligner technology.
The Importance of Consistent Wear
Even the most advanced technology depends on patient cooperation. Clear aligners only work when worn consistently. Removing them too often or forgetting to switch to the next set on time can delay progress and affect final results.
Dr. Gross emphasizes the importance of wearing aligners as directed to every patient in El Paso. Aligners must be worn for at least 20 hours a day for optimal results. Sticking to your wear schedule helps maintain the efficiency and accuracy of your treatment plan.
The Role of Attachments and Elastics
Some clear aligner treatments use small tooth-colored attachments or elastics to help guide more complex movements. These features enhance control over tooth positioning while remaining nearly invisible.
At Gross Orthodontics, Dr. Gross customizes each patient’s plan to include these features only when necessary. These small tools make it possible for clear aligners to handle even moderate to severe alignment issues that previously required braces.

Predictable Results with Smart Software
One of the most impressive aspects of how clear aligner technology works is the predictive software that drives it. The clear aligner’s advanced algorithms analyze tooth movement patterns to determine the most effective sequence for shifting each tooth.
This level of precision gives Dr. Gross control over every aspect of treatment, from timing to tooth rotation, and helps ensure predictable outcomes. Patients can even track their progress digitally and see how closely their current smile matches their projected results.
For many El Paso patients, this transparency builds confidence and motivation throughout their orthodontic journey.
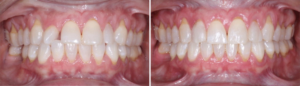
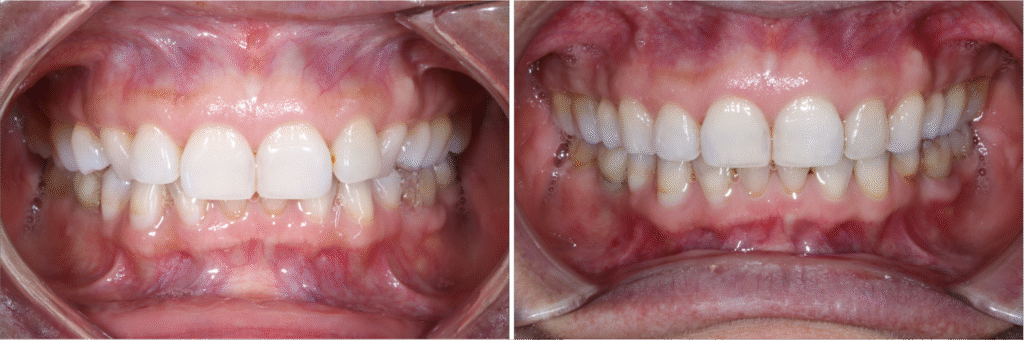
Before and After: Real Results
Patients who complete clear aligner treatment often see dramatic improvements in alignment, bite, and overall smile appearance. Crowded or crooked teeth become evenly spaced, while gaps close to create a more harmonious smile.

Before After

Before After
Dr. Gross frequently shares before-and-after photos with patients during consultations to demonstrate what’s possible with clear aligners. Seeing real results from others in the El Paso community helps new patients envision their own smile transformation.
Why El Paso Patients Choose Clear Aligners
Clear aligners are popular choices in El Paso because they fit seamlessly into everyday life. You’ll love that clear aligners are:
- Nearly invisible and discreet
- Removable for meals and cleaning
- Comfortable to wear without wires or brackets
- Designed with advanced digital precision
- Supported by expert orthodontic care from Dr. Gross
For busy adults and teens alike, clear aligner makes it possible to achieve a beautiful smile with minimal lifestyle disruption.
After Treatment: Retainers and Long-Term Stability
Once your clear aligner treatment is complete, wearing a retainer is crucial to maintain your results. Teeth naturally shift over time, but retainers help preserve your new alignment. Gross Orthodontics provides custom retainers designed to keep your smile stable and beautiful for years to come.

Get a Jumpstart On Your Smile Goals with Dr. Gross
With precise digital planning, advanced materials, and expert care from Dr. Gross, clear aligner treatment at Gross Orthodontics makes it easier than ever to achieve a confident, healthy smile in El Paso.
Ready to get started on your clear aligner journey? Schedule your free consultation at Gross Orthodontics today!
Free Consult


