Airway-focused orthodontic interventions from Gross Orthodontics can help you breathe and sleep better. It may sound obvious, but breathing and sleeping are crucial for your overall health (and you’d be surprised how many folks don’t get those!). Dr. Amanda Gross is a board-certified orthodontist in El Paso. She’s seen firsthand how airway-focused orthodontics can help families like yours in the greater El Paso County area. Dr. Gross examines how your teeth, jaws, and airway work together. If your child snores, grinds their teeth at night, is hyperactive, or wakes up tired even after a full night’s sleep, it may be more than a phase. Here’s how we can help you and your family breathe a little easier (and smile a little wider!).
What Is Airway-Focused Orthodontics?
Airway-focused orthodontics is a modern, holistic (think “whole-body”) perspective. It focuses on how your jaw, tongue, and airway work together to help you breathe (especially during sleep). While many practitioners may simply align the teeth and improve aesthetics, airway-centered care considers how treatment choices may impact your ability to breathe freely and comfortably.
Are you a parent with a child who breathes through their mouth (or maybe you do yourself)? Do you or your child get frequent upper respiratory infections? Does someone in your family struggle with snoring or feel way too tired during the day? If so, Dr. Gross and our El Paso team can help! We evaluate every patient with airway health in mind and we stay on top of advanced technology to build treatment plans around your individual needs.
Why Airway Health Matters
Breathing might seem like something we take for granted, but how we breathe has a huge impact on how we feel. Kids who snore or mouth-breathe often don’t get the deep, restful sleep they need. That can lead to tiredness, irritability, poor focus, and even ADHD-like symptoms. Mouth breathing can also lead to more frequent upper respiratory infections since the nose helps filter bacteria out of the air we breathe!
Mouth breathing can also affect the way the face and jaws grow. If your tongue doesn’t rest properly on the roof of your mouth, your upper jaw can become narrow, your lower jaw can rotate backwards, and your facial development can majorly change! A narrow jaw creates less room for your tongue, crowds your teeth, and narrows your airway. Over time, this may contribute to long, narrow facial growth and a higher risk of future breathing or sleep problems. That’s why our Gross Orthodontics team places such high value on airway-focused orthodontics.
Early Treatment for Kids: Catching Airway Issues Early
The American Association of Orthodontists recommends that children see an orthodontist by age 7. That’s when key growth patterns start to show, and when we can make a big difference. At this age, Dr. Gross can check your child’s bite, jaw development, and airway space to see if early treatment could help.

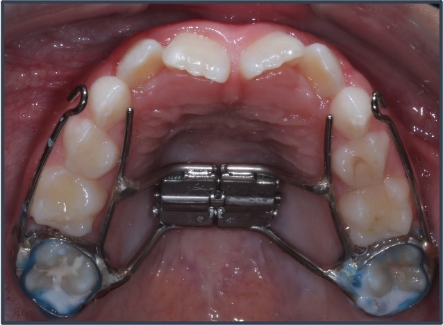
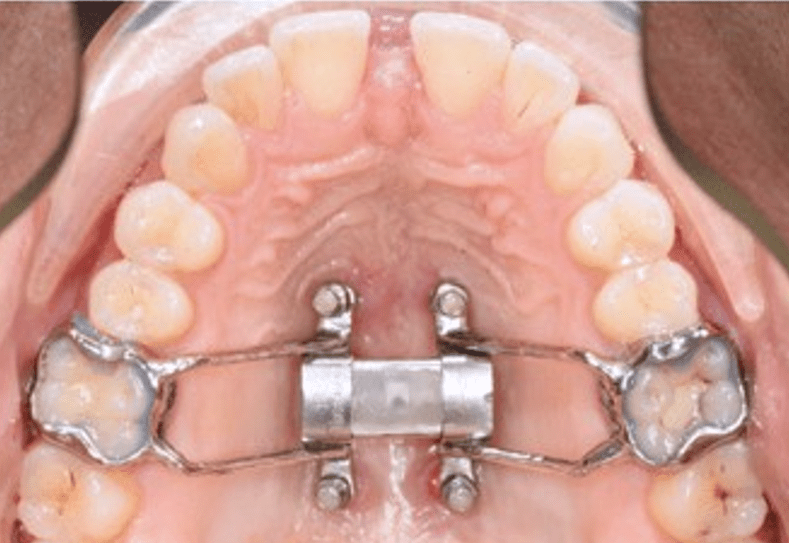
If your child has a narrow palate or crowded teeth, a device called a palatal expander can gently widen their upper jaw. It creates more room for teeth to grow in straight (yay!!). But (bonus!) it also expands the nasal airway above, which helps kids breathe better through their nose.
Parents often report their child sleeps more quietly and wakes up more rested after expansion. It’s a small step that can make a big difference in behavior, focus, general health, and development for all our El Paso kids.
Helping Teens & Adults Breathe Better, Too
Airway-focused care isn’t just for kids. Teens and adults can benefit, too. Especially if they’ve never had early orthodontic care or struggle with issues like snoring, sleep apnea, or chronic congestion (yuck, no thanks!).
For teens, orthodontic appliances like expanders and Empower self-ligating braces can still widen the arches and create room for the tongue and airway. In some cases, clear aligners (like invisalign, Spark, Angel, or our in-house uLab brand) can be used to improve bite and jaw position. Dr. Gross carefully plans every teen’s treatment to support proper breathing and long-term stability. We also offer clear braces and lingual braces if you prefer a less noticeable option.

For adults, airway-focused orthodontics may involve braces, aligners, miniscrew-assisted rapid palatal expanders (MARPEs), or surgical treatment to help reduce snoring or sleep apnea. If needed, Dr. Gross can collaborate with ENTs (ear, nose, and throat physicians), sleep specialists, and oral and maxillofacial surgeons to create a comprehensive care plan.

Tools That Support Better Breathing
Here are a few of the tools we use at Gross Orthodontics to support your airway health:
- Palatal Expanders – Gently widen the upper jaw to improve airflow and create space for growing teeth.
- Clear Aligners – Straighten teeth while preserving tongue space and jaw balance.
- Lingual Braces – Fit behind your tongue to stay out of sight.
- Myofunctional Therapy – Exercises that help train the tongue and facial muscles for healthy breathing habits.
- Custom Retainers – Help maintain results and support jaw position during sleep.
Every tool is used with care and purpose, designed to help you breathe, sleep, and smile better.
Why Choose Gross Orthodontics for Airway-Centered Care?
Dr. Gross is a board-certified orthodontist with advanced training and a passion for helping El Paso families feel their best. She grew up right here in the community and opened Gross Orthodontics to bring world-class care close to home.
With her office in West El Paso, Gross Orthodontics makes it easy for busy families to get care that fits their schedule and their needs. From digital imaging to personalized treatment plans, every detail is designed with your comfort and health in mind.

If you’re looking for an orthodontist who looks beyond the smile and considers your total health, you’re in the right place!
Breathe Better with a Free Consultation
Whether you’re worried about your child’s breathing or simply want to learn more about airway-focused orthodontics, your first visit at Gross Orthodontics is free, and there’s no pressure to start treatment. During your consultation, Dr. Gross will take a close look at your (or your child’s) smile, bite, jaw, and airway. You’ll get answers, a personalized plan, and the chance to take a breath (literally!). Schedule your free consultation at either of our two El Paso offices today.
Free Consult

